FIGURE

Fig 2

ID
ZDB-FIG-201121-57
Publication
Schindler et al., 2020 - Adriamycin does not damage podocytes of zebrafish larvae
Other Figures
All Figure Page
Back to All Figure Page
Fig 2

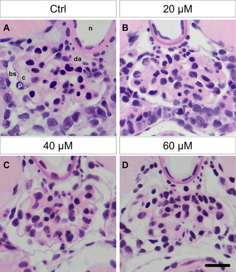
Glomeruli of ADR-treated larvae did not show morphological alterations demonstrated by HE staining on histological sections.

A loss of podocytes or a Bowman‘s space edema could not be observed (A-D). n: notochord, da: dorsal aorta, c: capillary, p:podocyte, bs: Bowman‘s space. Scale bar represents 10 μm.

Expression Data

Expression Detail
Antibody Labeling
Phenotype Data
Fish:
Condition:
Observed In:
Stage: Days 7-13

Phenotype Detail
Acknowledgments
This image is the copyrighted work of the attributed author or publisher, and ZFIN has permission only to display this image to its users. Additional permissions should be obtained from the applicable author or publisher of the image. Full text @ PLoS One