IMAGE

Fig 2

ID
ZDB-IMAGE-201121-59
Source
Figures for Schindler et al., 2020
Image
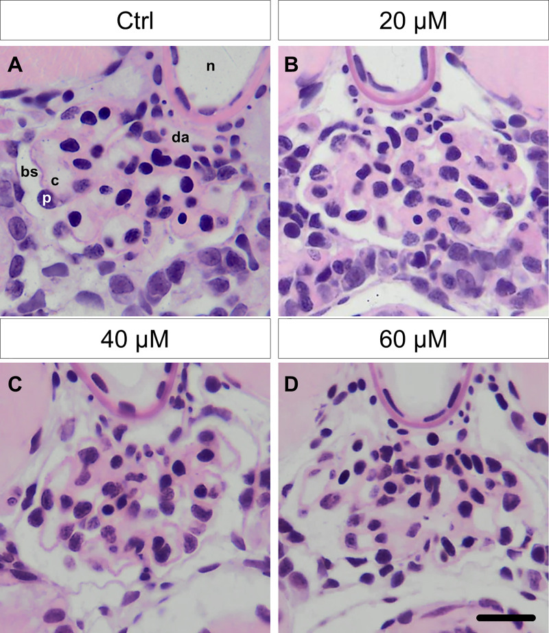
Figure Caption

Fig 2 Glomeruli of ADR-treated larvae did not show morphological alterations demonstrated by HE staining on histological sections.

A loss of podocytes or a Bowman‘s space edema could not be observed (A-D). n: notochord, da: dorsal aorta, c: capillary, p:podocyte, bs: Bowman‘s space. Scale bar represents 10 μm.

Figure Data
Acknowledgments
This image is the copyrighted work of the attributed author or publisher, and ZFIN has permission only to display this image to its users. Additional permissions should be obtained from the applicable author or publisher of the image. Full text @ PLoS One