Image
Figure Caption

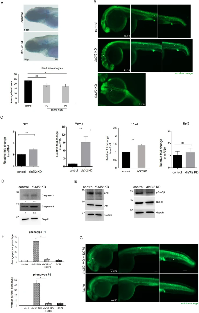
Fig. 3 dis3l2 is essential for neural crest survival. A: Skeletal preparation and head measurements of dis3l2 depleted larvae showing smaller head area with respect to control. B: Cell death analysis in the dis3l2 morphants by acridine orange staining. Acridine orange positive cells (white asterisk) shown in the head. Scale bars, 200 μm. C: Relative expression of Bcl2 family members– bim, puma, foxo, and bcl2 in dis3l2 morphants. Data are shown as mean + SEM, *p < 0.05, **p < 0.01, ***p < 0.001. n = 3 for each experiment, with a minimum of 100 embryos per experiment. D: Western blot analysis to show Caspase3 levels in morphants embryos. Gapdh was used as loading control. E: Western blot analysis showing phosphorylated Akt with respect to total Akt levels and phosphorylated Gsk3β with respect to total Gsk3β levels in dis3l2 depleted embryos. Gapdh was used as loading control. F: Rescue experiments showing phenotype P1 and P2 upon treatment with Akt activator SC79 in dis3l2 morpholino injected embryos. G: Cell death analysis by acridine orange staining in dis3l2 morpholino injected embryos treated with SC79 and WT embryos treated with SC79

Figure Data
Acknowledgments
This image is the copyrighted work of the attributed author or publisher, and ZFIN has permission only to display this image to its users. Additional permissions should be obtained from the applicable author or publisher of the image. Full text @ Cell Commun. Signal.