IMAGE

Fig. 3

ID
ZDB-IMAGE-120209-23
Genes
Source
Figures for Zhang et al., 2012
Image
Figure Caption

Fig. 3

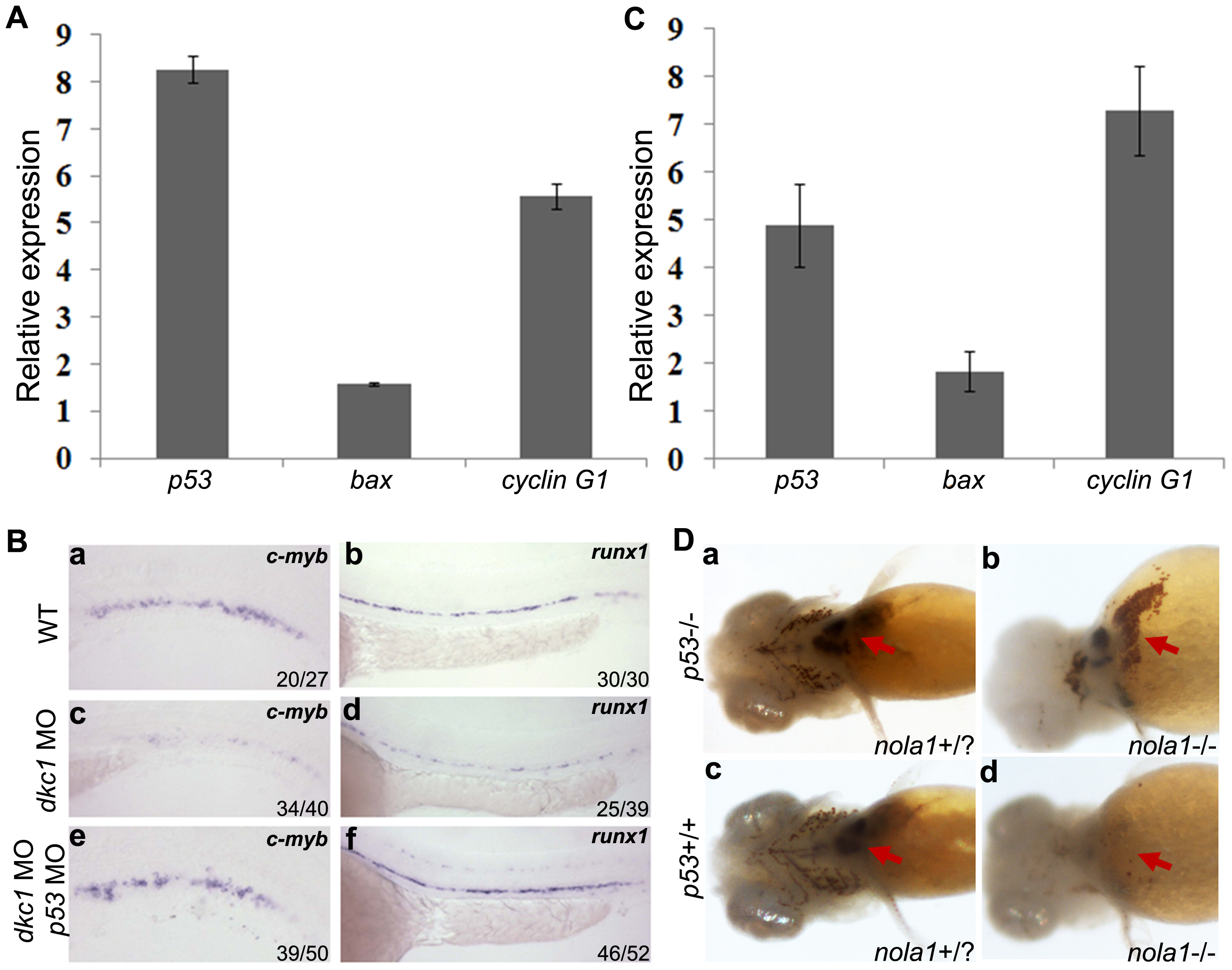
Activation of p53 pathway and rescue of hematopoietic defects in zebrafish dkc1 and nola1 deficiency.

(A) and (C) Expression of genes of p53 pathway was up-regulated in both dkc1 morphant (A) and nola1 mutant (C). Expression level of wild type embryos of related genes was normalized as 1.0. (B) Knockdown of p53 by injection of p53 MO rescued the reduction of HSC in dkc1 morphants (compare c with e, d with f). C-myb expression at 3 dpf (a, c and e); runx1 expression at 30 hpf (b, d and f). (D) Red blood cells were restored in nola1 and p53 double mutatant embryos (red arrow in ad). 25 embryos at 4 dpf were examined for each group. And the results shown here were representative for three independent experiments.

Figure Data
Acknowledgments
This image is the copyrighted work of the attributed author or publisher, and ZFIN has permission only to display this image to its users. Additional permissions should be obtained from the applicable author or publisher of the image. Full text @ PLoS One