FIGURE

Fig. 4

ID
ZDB-FIG-250122-5
Publication
Matsumoto et al., 2024 - Foxo3-mediated physiological cell competition ensures robust tissue patterning throughout vertebrate development
Other Figures
All Figure Page
Back to All Figure Page
Fig. 4

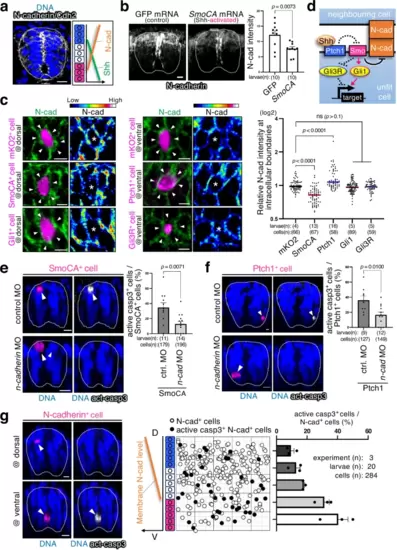
N-cadherin mediates the sensing of unfit cells. a N-cadherin/Cdh2 levels inversely correlate with Shh activity. Representative images show whole-mount immunostaining for N-cadherin (grey). Scale bar = 10 μm. b Activating Shh signalling reduces N-cadherin levels. Shh-activated larvae were prepared by injecting SmoCA mRNA. Scale bar = 10 μm. The mean + SEM of N-cadherin intensity of each larva is graphed. An unpaired two-tailed t-test was used for the statistical analysis. c Mosaic introduction of SmoCA- or Ptch1-expressing cells altered endogenous N-cadherin levels. Confocal images show whole-mount immunostaining for N-cadherin (green) and mosaic expression of mKO2 alone or with SmoCA, Ptch1, Gli1, or Gli3R (magenta). The fluorescence intensity of intercellular N-cadherin staining between mKO2+ cells and neighbouring wild-type cells was normalised to the intercellular fluorescence intensity between wild-type cells. Each dot represents an mKO2+ cell. Two-tailed one-way ANOVA was used. d Schematic illustration of the Shh signalling pathway and N-cadherin regulation. e, f Partial N-cadherin knockdown by injecting low-dose n-cadherin oligo morpholino (MO) blocks SmoCA- (e) or Ptch1- (f) -expressing cell elimination. Scale bar = 10 μm. The graphs on the right show the mean + SEM of mKO2+ (SmoCA, Ptch1) and caspase-3-active cell frequencies. An unpaired two-tailed t-test was used for the statistical analysis. g Cells causing excess noise in N-cadherin-gradients efficiently underwent apoptosis. Confocal images show whole-mount immunostaining of mosaically introduced N-cadherin-overexpressing cells (magenta) and active caspase-3 (grey). Scale bar = 10 μm. The middle panel shows maps of N-cadherin cells artificially introduced into the spinal cord. The right graph indicates the mean + SEM of mKO2+ and caspase-3-active cell frequencies within a divided range along the DV axis. Source data are provided as a Source Data file.

Expression Data

Expression Detail
Antibody Labeling
Phenotype Data

Phenotype Detail
Acknowledgments
This image is the copyrighted work of the attributed author or publisher, and ZFIN has permission only to display this image to its users. Additional permissions should be obtained from the applicable author or publisher of the image. Full text @ Nat. Commun.