FIGURE

Fig. 1

ID
ZDB-FIG-220504-29
Publication
Risalde et al., 2021 - Immunohistochemical expression of aromatase cyp19a1a and cyp19a1b in the ovary and brain of zebrafish (Danio rerio) exposed to different concentrations of bisphenol A
Other Figures
All Figure Page
Back to All Figure Page
Fig. 1

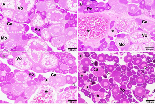
Histopathological changes in the zebrafish ovary exposed to different concentrations of BPA in water. A) Ovarian parenchyma of control zebrafish not exposed to BPA with numerous follicles at different stages of maturation, without histopathological lesions. B) Occasional presence of atretic follicles (asterisk) in ovary from zebrafish exposed to 10 μg/L of BPA. C) Presence of some atretic follicles (asterisk) and occasional presence of primordial follicles apoptosis (arrow) in ovary from zebrafish exposed to 100 μg/L of BPA. D) Multiple primary oocytes, primordial follicles apoptosis (arrows) and atretic follicles (asterisk) in ovary from zebrafish exposed to 1000 μg/L of BPA. Po-Primary oocyte; Ca-oocyte in cortical alveolus stage; Vo-vitellogenic oocyte; Mo-mature oocyte. Hematoxilin-eosine stain.

Expression Data

Expression Detail
Antibody Labeling
Phenotype Data
Fish:
Condition:
Observed In:
Stage: Adult

Phenotype Detail
Acknowledgments
This image is the copyrighted work of the attributed author or publisher, and ZFIN has permission only to display this image to its users. Additional permissions should be obtained from the applicable author or publisher of the image. Full text @ Aquat. Toxicol.