FIGURE
Fig. S1
- ID
- ZDB-FIG-100302-57
- Publication
- Seo et al., 2010 - BBS6, BBS10, and BBS12 form a complex with CCT/TRiC family chaperonins and mediate BBSome assembly
- Other Figures
- All Figure Page
- Back to All Figure Page
Fig. S1
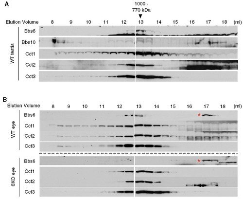
Gel filtration analysis of wild-type and Bbs6 null testis and eye extracts. Wild-type (WT) and Bbs6 null (6KO) mouse testis (A) and eye (B) extracts were subjected to size exclusion chromatography, and elution fractions were analyzed by immunoblotting. Immunoblot result from Bbs6 null eye extract indicates that the band ∼17-mL fraction is an unknown cross-reacting protein (red asterisk). It should be noted that the Bbs6 band, present at ∼13-mL fraction in wildtype, is absent in Bbs6 null eye. |
Expression Data
Expression Detail
Antibody Labeling
Phenotype Data
Phenotype Detail
Acknowledgments
This image is the copyrighted work of the attributed author or publisher, and
ZFIN has permission only to display this image to its users.
Additional permissions should be obtained from the applicable author or publisher of the image.
Open Access.
Full text @ Proc. Natl. Acad. Sci. USA