IMAGE

Figure 5.

ID
ZDB-IMAGE-250307-38
Source
Figures for Liu et al., 2024
Image
Figure Caption

Figure 5.

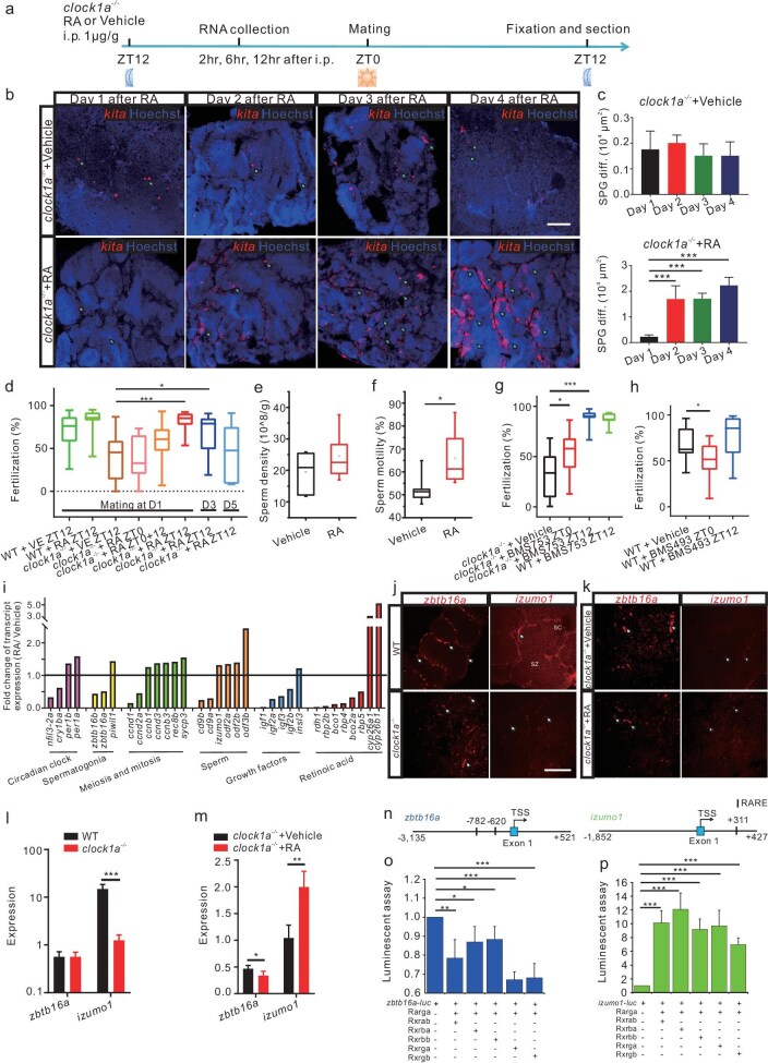
atRA treatment rescues the clock1a−/− spermatogenesis and fertilization defects via zbtb16a and izumo1 in zebrafish. (a) Schedules of the experiments. (b) FISH images of the WT and clock1a−/− testis sections with the kita probe at days 1 to 4 following the atRA or vehicle treatment i.p. at ZT12 (n = 3 × 5). The signals were superimposed with the Hoechst33423 nuclear counterstain. Scale bar, 100 μm. (c) Quantification of kita-positive cells in b (n = 4). (d) Fertilization rates by pairwise crosses of WT males or clock1a−/− males with WT females 1, 3, and 5 days after atRA or vehicle treatment at ZT0 or ZT12 (n = 9–18). (e and f) Sperm density (e) and motility (f) of the clock1a−/− mutant males after atRA or vehicle treatment (n = 6). (g and h) Fertilization rates by pairwise crosses of WT females with clock1a−/− males or WT males treated with BMS753 (g), and WT females with WT males treated with BMS493 (h) at ZT0 or ZT12 (n = 10–18). (i) The ratios of gene expression levels in the clock1a−/− testis 2 hours after atRA treatment to those after vehicle treatment (n = 3). (j) FISH images of WT and clock1a−/− testes using zbtb16a or izumo1 probe (n = 4). Scale bar, 100 μm. (k) FISH images of clock1a−/− testes treated with RA or vehicle using zbtb16a or izumo1 probe (n = 4). (l and m) Quantification of zbtb16a-positive and izumo1-positive cells in (j and k) (n = 4). (n) Schematic diagrams of the RARE motifs-containing izumo1 and zbtb16a promoters. (o and p) Luciferase reporter assays of izumo1 (o) and zbtb16a (p) promoters (n = 3). (b, j and k) Arrows indicate spermatogonia. Sc, spermatocyte; Sz, spermatozoon. *P < 0.05; **P < 0.01;***P < 0.001 (Fig. S5).

Acknowledgments
This image is the copyrighted work of the attributed author or publisher, and ZFIN has permission only to display this image to its users. Additional permissions should be obtained from the applicable author or publisher of the image. Full text @ Natl Sci Rev