IMAGE

Fig. 5

ID
ZDB-IMAGE-250122-6
Source
Figures for Matsumoto et al., 2024
Image
Figure Caption

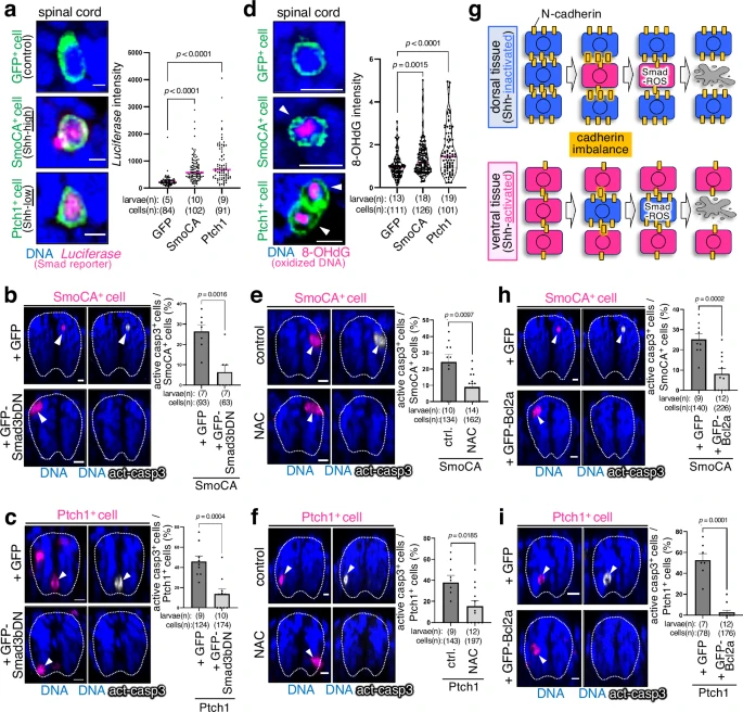
Fig. 5 Smad-reactive oxygen species pathway mediates the killing of unfit cells. a, d Shh-unfit cells activate the Smad2/3/4-dependent reporter gene (SBE-Luc) (a) and reactive oxygen species (ROS) production (d). Confocal images show whole-mount fluorescent in situ hybridisation of luciferase mRNA (a) and immunostaining for 8-OHdG (d) (magenta) in mosaic larvae expressing membrane GFP alone or with SmoCA or Ptch1 (green). Scale bar = 10 μm. In a, the luciferase intensity of each GFP+ cell is plotted. Two-tailed one-way ANOVA was used. In d, violin plots show the 8-OHdG intensity of each GFP+ cell. Two-tailed one-way ANOVA was used. b, c, e, f, h, i Smad3bDN overexpression (b, c), ROS inhibition (e, f), and Bcl2a overexpression (h, i) blocked SmoCA- or Ptch1-expressing cell apoptosis. Confocal images show whole-mount immunostaining of active caspase-3 (grey) in mosaic larvae expressing mKO2 with SmoCA or Ptch1 (magenta), injected with GFP or GFP-Smad3bDN (b, c), treated with D2W (control) or N-acetyl-l-cysteine (NAC, a ROS scavenger) (e, f), or injected with GFP or GFP-Bcl2a (h, i). Scale bar = 10 μm. The graphs on the right show the mean + SEM of mKO2+ (SmoCA, Ptch1) and caspase-3-active cell frequencies. An unpaired two-tailed t-test was used for the statistical analysis. g Schematic diagram showing the elimination of Shh-unfit cells. Source data are provided as a Source Data file.

Acknowledgments
This image is the copyrighted work of the attributed author or publisher, and ZFIN has permission only to display this image to its users. Additional permissions should be obtained from the applicable author or publisher of the image. Full text @ Nat. Commun.