Image
Figure Caption

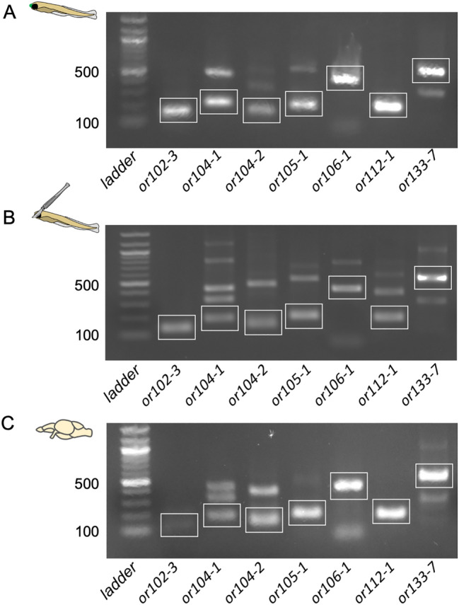
Figure 4

RT-PCR amplification of 7 olfactory receptor gene transcripts in non-olfactory tissues in larval and adult zebrafish. (A) or102-3, or104-1, or104-2, or105-1, or106-1, or112-1 and or133-7 genes are expressed in the whole 6-day-old zebrafish larvae. (B) All 7 OR gene transcripts are amplified in larvae without nose. 6-day-old Tg(OMP: YFP) larvae were used to ascertain the complete removal of the olfactory epithelium. (C) All tested OR gene transcripts are detected in the adult zebrafish brain. 100 bp ladder is used. Cartoons on left depict conditions for tissues used for RT-PCR. Green dot on rostral part of larva (A) represents OMP:YFP expressing olfactory epithelium, which was removed for (B). White boxes outline bands that correspond to the expected size. Original non-cropped images are in Fig. S3.

Figure Data
Acknowledgments
This image is the copyrighted work of the attributed author or publisher, and ZFIN has permission only to display this image to its users. Additional permissions should be obtained from the applicable author or publisher of the image. Full text @ Sci. Rep.