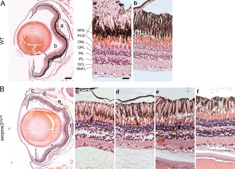
Hematoxylin/eosin histology staining of serpine3cbg18 eyes (14 months) reveals histological differences in comparison to their wild type (WT) siblings (dorsal top, ventral bottom).
We show details of representative overview images for one eye of each genotype on the right. In comparison to WT (A), distance between lens and retina of serpine3cbg18 fish is reduced (distance bars). In the serpine3cbg18 eye (B), all retinal layers are present and distinguishable, although they are not as tightly packed and clearly separated as in the WT (c–f). Moreover, we observed displaced pigmented cells that are located mainly in the photoreceptor outer segment and the outer nuclear layer yellow arrows, (c–e). Furthermore, the photoreceptor outer segment and RPE layer are not clearly separated in the serpine3cbg18 retina. Scale bar in the overviews represents 200 µm and in the magnifications 20 µm.
This image is the copyrighted work of the attributed author or publisher, and
ZFIN has permission only to display this image to its users.
Additional permissions should be obtained from the applicable author or publisher of the image.
Full text @ Elife
Your Input Welcome
Thank you for submitting comments. Your input has been emailed to ZFIN curators who may contact you if
additional information is required.
Oops. Something went wrong. Please try again later.