IMAGE

Figure 7

ID
ZDB-IMAGE-210319-114
Source
Figures for Lai et al., 2021
Image
Figure Caption

Figure 7

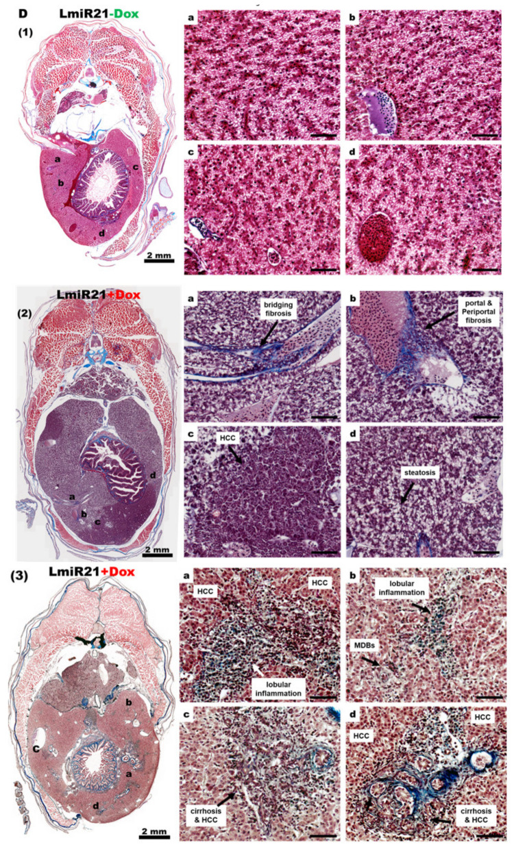
LmiR21 zebrafish develop nonalcoholic hepatocellular carcinoma (NAHCC) phenotypes at 10 months post fertilization (mpf). (A) Gross liver images from (a) LmiR21 − Dox male, (b) LmiR-21 + Dox male, (c) LmiR21 − Dox female, and (d) LmiR21 + Dox female. Scale bar: 3 mm. (B) Microscopic views of angiogenesis in livers from bright field: (a) LmiR21 − Dox (c) LmiR21 + Dox and corresponding GFP fluorescence images (b) LmiR21 − Dox (d) LmiR21 + Dox. Scale bar: 2 mm. (C) Hematoxylin & eosin stained livers from (1) LmiR21 − Dox (insets ad) (2) LmiR21 + Dox (insets ad) of steatohepatitis concomitant with HCC: hepatocyte ballooning, Mallory−Denk bodies (MDB), lobular inflammation and HCC (indicated by arrows). Scale bar: 50 μm. (D) Masson’s trichrome stained livers of (1) LmiR21 − Dox (insets ad), (2) LmiR21 + Dox (insets ad) indicative of steatohepatitis, portal and periportal fibrosis concomitant with HCC and (3) LmiR21 + Dox (insets ad) indicative of steatohepatitis, advanced fibrosis (cirrhosis) concomitant with HCC. Scale bar: 50 μm. (E) Analysis of selected miR-21 targeted NAHCC associated genes: HMG-box transcription factor 1 (hbp1), 3-hydroxy-3-methylglutaryl-CoA reductase (hmgcr), fatty acid binding protein 7a (fabp7a), programmed cell death 4b (pdcd4b), and tissue inhibitors of metalloproteinases 3 (timp3). (1) Schematic alignment between the mature miR-21 seed sequence and the mRNA target sequence at the 3′ UTR. (2) Whole mount in situ hybridization assays demonstrate that miR-21 significantly represses expression of NAHCC associated genes in AmiR21 fish. Scale bar: 1 mm. (3) RT-qPCR analysis of the NAHCC associated genes mRNA expression in the liver of WT ± Dox and LmiR21 ± Dox at 10 mpf. Statistically significant differences from LmiR21 − Dox were denoted by ** (p < 0.01) and *** (p < 0.001).

Acknowledgments
This image is the copyrighted work of the attributed author or publisher, and ZFIN has permission only to display this image to its users. Additional permissions should be obtained from the applicable author or publisher of the image. Full text @ Cancers