IMAGE

Fig. 5

ID
ZDB-IMAGE-180723-29
Genes
Source
Figures for Enya et al., 2018
Image
Figure Caption

Fig. 5

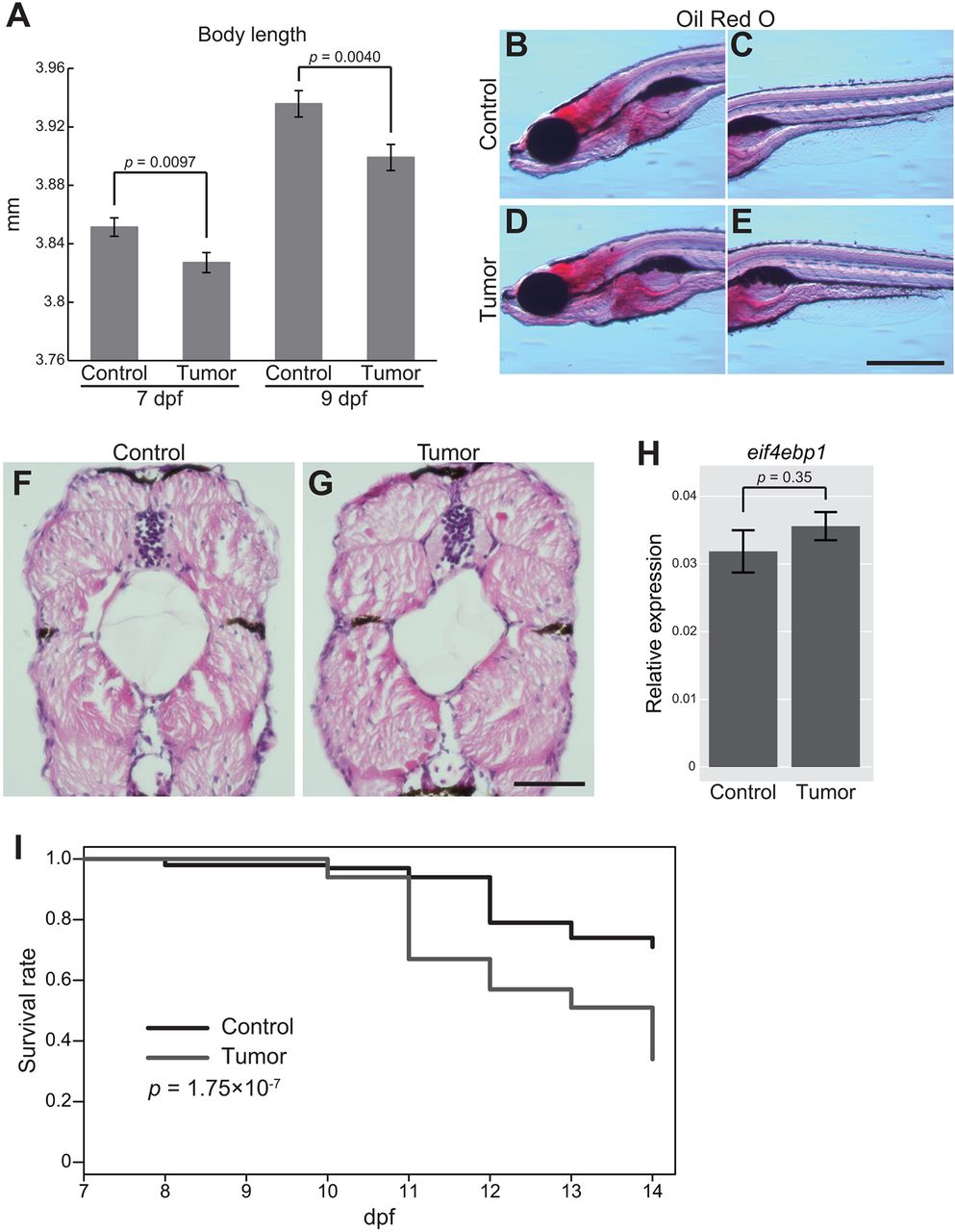
The zebrafish intestinal tumor causes the systemic growth defect and organismal death. (A) Body length data of the sibling controls and tumor-bearing larvae at 7 and 9 dpf. The number of larvae used is 163 (7 dpf control larvae), 155 (7 dpf tumor-bearing larvae), 154 (9 dpf control larvae) and 154 (9 dpf tumor-bearing larvae). Data from three independent clutches are pooled. Data from each clutch are shown in Fig. S6. Error bars represent means±s.e.m. Statistical significance was tested using Student's t-test (unpaired, two-tailed). (B-E) Representative images of Oil Red O staining for the sibling controls (B,C) and tumor-bearing larvae (D,E) at 9 dpf. Scale bar: 500 µm. Red-stained areas represent total lipids in larvae. (F,G) Representative images of HE-stained transversal body sections for the sibling controls (F) and tumor-bearing larvae (G) at 9 dpf. Scale bar: 50 µm. (H) qPCR analysis for eif4ebp1 in the body (without the intestine or intestinal tumor) in the sibling controls and tumor-bearing larvae at 9 dpf. Scores are normalized to expression of rpl13a. The data harbors 5 biological replicates, each containing 5 larvae. Error bars represent means±s.e.m. Statistical significance was tested using Student's t-test (unpaired, two-tailed). (I) Survival rates of the sibling controls and tumor-bearing larvae from 7 to 14 dpf are shown by the Kaplan–Meier curve. Data were pooled from three independent experiments. The total number of analyzed larvae is 100 each. Statistical significance was tested using the log-rank test. Data are representative of at least two independent experiments, except I.

Figure Data
Acknowledgments
This image is the copyrighted work of the attributed author or publisher, and ZFIN has permission only to display this image to its users. Additional permissions should be obtained from the applicable author or publisher of the image. Full text @ Dis. Model. Mech.