IMAGE

Fig. 5

ID
ZDB-IMAGE-180105-59
Source
Figures for Li et al., 2017
Image
Figure Caption

Fig. 5

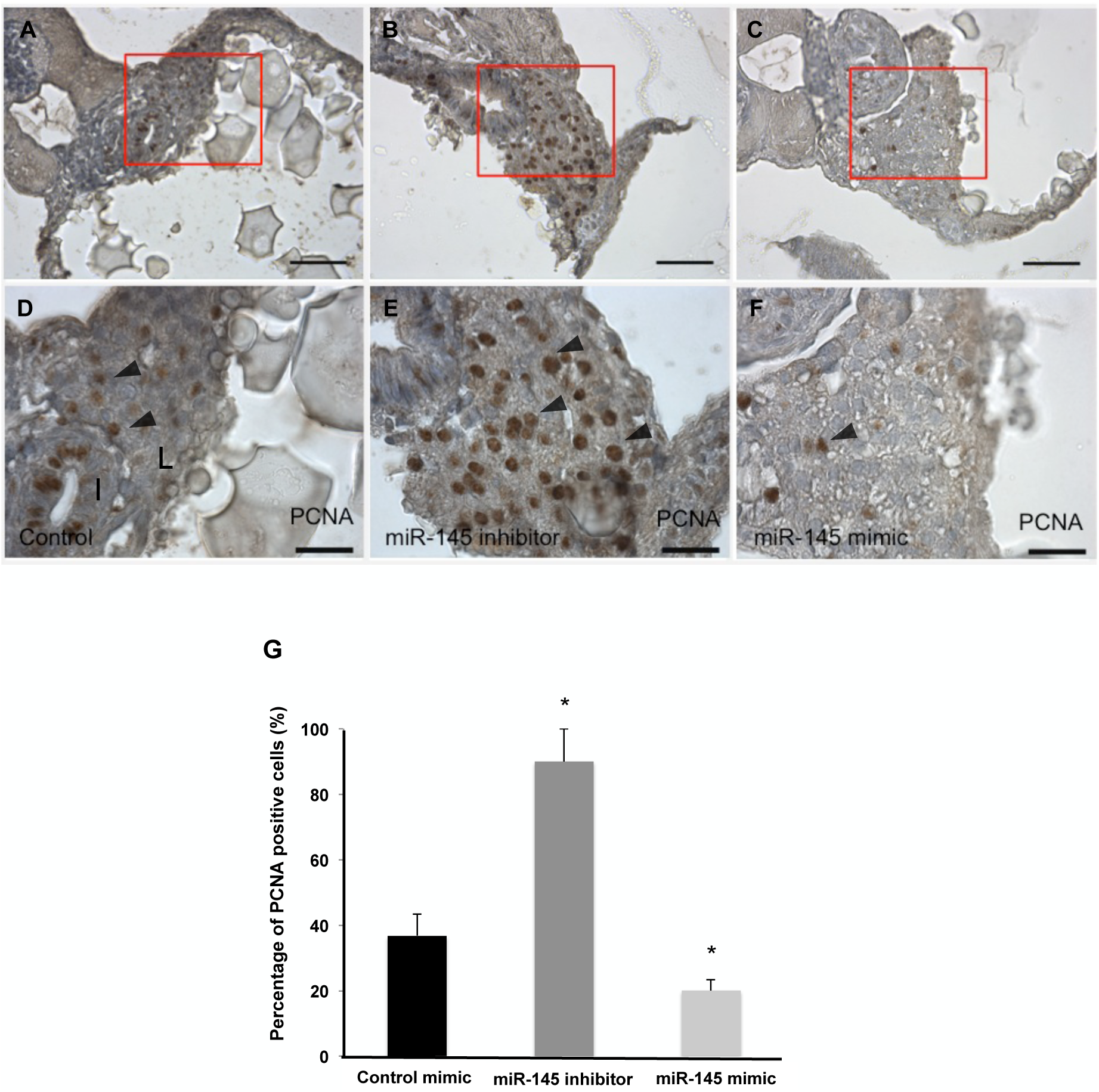
miR-145 modulates hepatocyte proliferation in zebrafish embryos.

The liver sections of control mimic-, miR-145 inhibitor- and miR-145 mimic-injected fish were examined using PCNA staining at 4 dpf. The liver sections of three embryos per experimental group were used and three independent replicates were performed. miR-145 inhibitor-injected fish had more PCNA-positive hepatocytes (B, E) as compared to those in control (A,D). In contrast, a low signal was detected in response to miR-145 mimic treatment (C,F). The arrowhead indicates PCNA-positive hepatocytes. The percentage of PCNA-positive hepatocytes was counted (G). The blue staining is hematoxylin stain; I, intestine; L, liver; Scale bars, 20 μm; *P < 0.05, t-test.

Acknowledgments
This image is the copyrighted work of the attributed author or publisher, and ZFIN has permission only to display this image to its users. Additional permissions should be obtained from the applicable author or publisher of the image. Full text @ PLoS One