IMAGE

Fig. 5

ID
ZDB-IMAGE-170222-112
Genes
Source
Figures for Park et al., 2016
Image
Figure Caption

Fig. 5

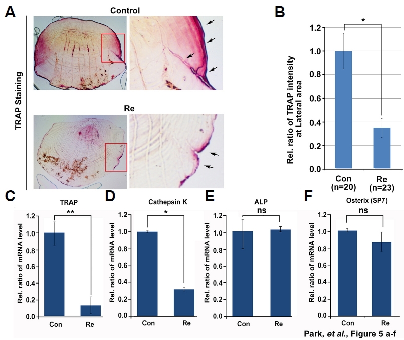
Effect of ginsenoside Re on zebrafish scale osteoclasts. (A) Ginsenoside Re-treated zebrafish scales were stained with TRAP. Red box, magnified X200; arrow, TRAP-positive signal. (B) TRAP signal intensity was measured in lateral regions. Five randomly selected points were measured per treated scale. (C, D) qPCR was performed to determine the mRNA levels of the osteoclast markers TRAP and cathepsin K and (E, F) the osteoblasts markers ALP and osterix.*P < 0.05 and **P < 0.01 by student’s t-test.

Figure Data
Acknowledgments
This image is the copyrighted work of the attributed author or publisher, and ZFIN has permission only to display this image to its users. Additional permissions should be obtained from the applicable author or publisher of the image. Full text @ Mol. Cells