IMAGE

Fig. 6

ID
ZDB-IMAGE-110211-10
Source
Figures for Madelaine et al., 2011
Image
Figure Caption

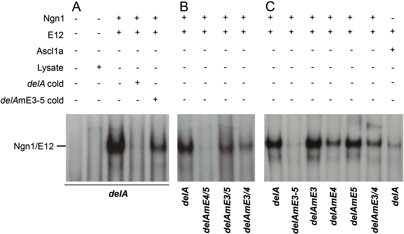
Fig. 6 Specific DNA binding of Ngn1/E12 to the deltaA CRM.

In vitro transcribed/translated Ngn1, Ascl1a and E12 were assayed by gel mobility shift assay (EMSA) for binding to a delA probe or similar probes containing mutations in specific E-boxes. (A) Ngn1/E12 heterodimers bind to delA and an excess of cold probe efficiently competes this binding. Little competition is detected with cold probes carrying mutations in the three E-boxes. (B) Different affinities of Ngn1/E12 heterodimer binding for individual E-boxes are highlighted by EMSA using delA probes carrying mutations in different pairs of E-boxes; while binding is strong to E4 (delAEm3/5), binding is poor to E5 (delAmE3/4) and virtually undetectable to E3 (delAEm4/5). (C) Different affinities of Ngn1/E12 heterodimer binding to couplets of E-boxes are highlighted by EMSA using delA probes carrying mutations in individual E-boxes. While Ngn1/E12 binding is strong to E4/E5 (delAEm3) and E3/E4 (delAEm5), binding is strongly decreased when E4 is mutated (delAEm4); binding is lost when the three E-boxes are mutated (delAEm35) and the wildtype delA probe is bound more specifically by Ngn1/E12 than Ascl1a/E12.

Acknowledgments
This image is the copyrighted work of the attributed author or publisher, and ZFIN has permission only to display this image to its users. Additional permissions should be obtained from the applicable author or publisher of the image.

Reprinted from Developmental Biology, 350(1), Madelaine, R., and Blader, P., A cluster of non-redundant Ngn1 binding sites is required for regulation of deltaA expression in zebrafish, 198-207, Copyright (2011) with permission from Elsevier. Full text @ Dev. Biol.