IMAGE

Fig. S6

ID
ZDB-IMAGE-101115-44
Source
Figures for Qin et al., 2009
Image
Figure Caption

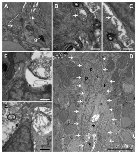
Fig. S6 Transmission electron micrographs of mitochondria in injury-activated Müller glia in WT siblings and nbl mutants after acute exposure to 33°C. (A–C) High-magnification images of mitochondria in injury-activated Müller glia in retinas at 2 dpl after 8 h of exposure to 33°C. See Fig. 4D for lower magnification images of these sections. (A) Glycogen granules (g) and mitochondria (arrows) in Müller glia in WT. (B and C) Swollen mitochondria with empty matrix in Müller glia of nbl. (D) Low-magnification view of a neurogenic cluster (within the arrows) in the inner nuclear layer of nbl at 3 dpl after4hof exposure to 33°C. Asterisks, Müller glia; p, progenitor. Note that the mitochondrial defect is present only in injury-activated Müller glia but not in the associated neuronal progenitors. (E and F) High-magnification images of mitochondria from the Müller glial cells in D. (Scale bars: 0.5 μm in A–C, E, and F; 10 μm in D.)

Acknowledgments
This image is the copyrighted work of the attributed author or publisher, and ZFIN has permission only to display this image to its users. Additional permissions should be obtained from the applicable author or publisher of the image. Full text @ Proc. Natl. Acad. Sci. USA