IMAGE

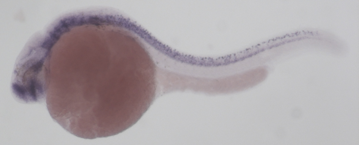
Fig. 8

ID
ZDB-IMAGE-060720-927
Genes
Source
Figures for Rauch et al., 2003[fq26h05]
Image
Comments

CEG load

Figure Caption

Fig. 8 Looks pan-neuronal at this stage

Orientation
Preparation Image Form View Direction
whole-mount still side view (lateral) anterior to left
Figure Data